歯科医師の先生方も参考にする、
当院のインプラント症例
治療部位・種類別に見る症例紹介
症例紹介一覧

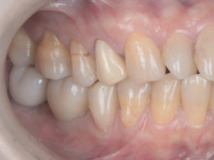
【インプラントのトラブルを解決した症例】
過去に他院でインプラント治療を受けられましたが、「インプラントが外れる」「インプラントが割れる」などのインプラントトラブルでお困りになり、当院に来院されました。 すでに、右上のインプラントのセラミック…
.011-300x225.jpeg)
【骨がやわらかい方へのインプラント治療】
奥歯が折れてしまい、来院された患者さまです。インプラント治療を選択されたので、CT撮影をしてインプラント埋入のシミュレーションをします。CT画像に色をつけて視覚的に骨の硬さを見分けています。この症例の…

【骨が足りない時のインプラント治療①】
前歯の痛みを訴えてご来院された患者さまです。奥歯がない状態が続いたために、下の前歯が上の前歯をつき上げて、歯根にヒビが入ってしまいました。そこが膿んできて丸で囲っている所の歯ぐきが腫れています。腫れて…

【歯科医が認めるインプラント治療】九州の歯科医がインプラントオペの患者として来院されました。
当院で2019年9月に行った公開オペの患者さんとして九州で開業されている鶴田先生がはるばる来られました。初診時の状態です遠方からのご来院ということもあり、インプラントのオペの直後に仮歯を装着する「即時…

見た目の悪いブリッジをインプラントで改善【前歯部審美症例2】
30年以上昔に入れた前歯のブリッジから膿が出てきたため治療することになった患者さまです。レントゲン写真を撮ると前歯の骨が吸収してしまっていることが分かります。診断用ワックスアップ模型上で審美的に美しい…

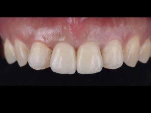
事故で前歯を失った方への早期治療【前歯部審美症例1】
37歳 女性顔面を強打し、患者さま右手側の上の前歯が抜け落ちてしまいました。応急処置として近隣の歯医者さんでダミーの歯を装着してもらい、当院に来院されました。診査の結果、右手側は歯の根っこまで無い状態…

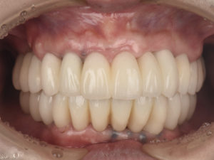
噛めないお口を歯ぐきを切らないインプラントで短期間に治療!【国際シンポジウムでの講演症例】
長らく満足に噛むことができず、以前のようにお寿司の軍艦巻きをおいしく食べたいとお望みのところ、低侵襲・短期間で治療ができる当院をご存知になりご来院くださいました。前歯を失ってしまったほか、奥歯は歯周病…
- 最新記事
- 症例カテゴリー
- 症例タグ
-
- 月別アーカイブ
-

