歯科医師の先生方も参考にする、
当院のインプラント症例
治療部位・種類別に見る症例紹介
症例紹介一覧

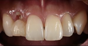
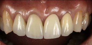
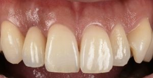
薄く折れやすい状態の前歯を、予知性の高いインプラントで治療した症例【前歯部審美症例11】
初診時。前歯がぐらつくようになったとのことでご来院されました。かぶせを外してみると、土台が折れてしまっている状態でした。土台を外した状態のレントゲン写真。根っこが非常に薄く、短い状態です。再度土台とか…

根が折れてしまった前歯をインプラントで治療した症例【前歯部審美症例10】
初診時。ぶつけて前歯が折れてしまったとのことでご来院されました。折れてしばらくそのままだったようで、割れた箇所から虫歯も進行してしまっています。抜歯適応と診断し、インプラントで治療する計画を立てました…

根の虫歯で抜歯になった下顎の奥歯をインプラントで再建した症例2
初診時。インプラントを入れたいとのことでご来院されました。下の奥歯が虫歯によって大きく溶かされており、保存不可能と診断しました。抜歯して、インプラントを埋入する計画をたてました。 根を分割して抜歯する…

根の虫歯で抜歯になった下顎の奥歯をインプラントで再建した症例
初診時。奥歯の被せが外れたとのことでご来院されました。根の虫歯が、歯茎のラインのさらに下まで進行してしまっています。これでは土台を立てて被せを作り直すことはできません。抜歯してインプラント治療を行う計…

根が折れてしまった上顎の奥歯をインプラントで治療した症例
初診時。上の奥歯が噛むと痛いとのことでした。かぶせを外してみると、非常に強い食いしばりにより、根が折れてしまっています。抜歯してインプラント治療する計画を立てました。抜歯直後の状態。ここにインプラント…

根の虫歯で抜歯になった上顎の奥歯をインプラントで再建した症例
初診時。ブリッジが外れたとのことでご来院されました。詳しく調べてみると、土台の歯は虫歯が進行しており、根の先も膿んでいます。この状態ではブリッジを作り直すことはできません。抜歯してインプラントで治療す…

根が折れて骨が薄くなった奥歯をインプラント治療した症例
初診時。歯が折れているとのことでご来院されました。歯が根ごと折れており、その影響で骨も薄くなってしまっています。抜歯して8週待ち、インプラント埋入する計画を立てました。インプラントを埋入しました。適切…

前歯複数本をインプラントで再建した症例【前歯部審美症例9】
初診時。被せ物をした土台の歯が膿んでいるため、たびたび腫れてくるとのことでした。歯肉のラインも不揃いです。根の先が膿んでいる歯を抜歯して、その日にインプラントを埋入。また仮歯も同時にセットします。 …

折れた前歯のインプラント治療【前歯部審美症例8】
右上の前歯がぐらつくとのことで、ご来院されました。調べてみると、歯の根っこが割れてしまっています。抜歯して、インプラント埋入のスペースを形成します。インプラントを埋入しました。インプラント埋入と同時に…

乳歯の晩期残存歯をインプラントで再建した症例【前歯部審美症例7】
永久歯の先天欠如により、残った乳歯が揺れてきています。見た目のバランスも不自然です。乳歯の抜歯と同時にインプラント埋入しました。インプラント埋入と同時に仮歯も入れました。メスで歯茎を切ったりせず、術後…
- 最新記事
- 症例カテゴリー
- 症例タグ
-
- 月別アーカイブ
-

