歯科医師の先生方も参考にする、
当院のインプラント症例
治療部位・種類別に見る症例紹介
奥歯1本の症例一覧

根が折れた奥歯をインプラントで治療した症例
右下の奥歯が噛むと痛むとのことでご来院されました。太い金属の土台によって根に大きな負担がかかり、かぶせものの下で縦に割れてしまっていることがわかりました。残念ですが歯が割れてしまうと残すことはできませ…

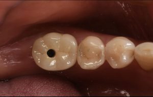
根が折れて骨が吸収した奥歯をインプラントで治療した症例
頻繁に奥歯のまわりが腫れてくるとのことでご来院されました。初診時は応急的に抗菌薬で炎症を抑えて、後日現状を詳しく精査していきました。2本あるうちの手前の1本の根っこが縦に割れてしまっている状態でした。…

根の虫歯で抜歯になった下顎の奥歯をインプラントで再建した症例2
初診時。インプラントを入れたいとのことでご来院されました。下の奥歯が虫歯によって大きく溶かされており、保存不可能と診断しました。抜歯して、インプラントを埋入する計画をたてました。 根を分割して抜歯する…

根の虫歯で抜歯になった下顎の奥歯をインプラントで再建した症例
初診時。奥歯の被せが外れたとのことでご来院されました。根の虫歯が、歯茎のラインのさらに下まで進行してしまっています。これでは土台を立てて被せを作り直すことはできません。抜歯してインプラント治療を行う計…

根が折れてしまった上顎の奥歯をインプラントで治療した症例
初診時。上の奥歯が噛むと痛いとのことでした。かぶせを外してみると、非常に強い食いしばりにより、根が折れてしまっています。抜歯してインプラント治療する計画を立てました。抜歯直後の状態。ここにインプラント…

根が折れて骨が薄くなった奥歯をインプラント治療した症例
初診時。歯が折れているとのことでご来院されました。歯が根ごと折れており、その影響で骨も薄くなってしまっています。抜歯して8週待ち、インプラント埋入する計画を立てました。インプラントを埋入しました。適切…

太い土台が原因で根っこが割れて治療した症例
右下の奥歯に太い土台が原因で根っこが破折していました。 抜歯を行いました。インプラントを埋入しました。10週目にセラミックを装着して終了しました。

虫歯により奥歯がなくなった場合の治療
右上奥歯が虫歯によって根っこだけの状態になってしまいました。抜歯を行い、インプラントを埋入しました。デジタルスキャンで型取りを行いました。10週目にセラミックを装着して終了しました。

噛む力により割れた大臼歯をインプラントで治療した症例
左下大臼歯部が噛むと痛いが、主訴で来院され歯が割れているのが確認されました。抜歯を行い、インプラントを埋入し印象を行いました。最終的にセラミックで治療しました。

最新の機械(光学印象)でインプラントの補綴物を作った症例
歯茎が腫れているのが主訴で来院され、歯が割れているのが確認できます。抜歯を行い、インプラントを埋入して、最新の機械(光学印象)で型採りをしました。セラミックで歯を作りました。
- 最新記事
- 症例カテゴリー
- 症例タグ
-
- 月別アーカイブ
-

