歯科医師の先生方も参考にする、
当院のインプラント症例
治療部位・種類別に見る症例紹介
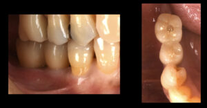
2023.05.12 奥歯複数歯 奥歯にインプラントを入れてしっかり噛めるようになった症例
- Before
- After
※Before Afterをクリックすると写真が切り替わります
| 初診時年齢 | 41 |
|---|---|
| 主訴 | 奥歯でしっかり噛めるようになりたい。 |
| 処置内容・方法 | 欠損部位にインプラントを2本入れた。 |
| 抜歯の有無 | なし |
| 埋入本数 | 2本 |
| 埋入箇所 | 下顎臼歯部 |
| 治療期間 | 10週 |
| 費用 | 1本49万5千円(税込) |
| リスク | 定期的なメンテナンスを怠ると、インプラント周囲炎などにより予後が悪くなる可能性があります。 |
長年奥歯が無い状態で過ごし、またしっかりものを噛めるようになりたいとご来院されました。

現在の噛み合わせ、CT、レントゲンで骨の状態や骨質を精査し、2本のインプラントを入れる計画を立てました。

術前の計画通り、適切な位置にインプラントを埋入しました。

良好な固定が取れたことを確認し、そのまま仮歯を立ち上げていきます。

仮歯が完成しました。オペ当日に歯が入った状態でお帰りいただきます。


オペから8週で骨とインプラントの良好な結合を確認できました。最終的なセラミックの歯の型取りをしていきます。

型取りから約2週、オペからは10週でセラミックの歯が入りました。なんでもしっかり噛めるようになり、大変喜んでいただけました。

- 最新記事
- 症例カテゴリー
- 症例タグ
-
- 月別アーカイブ
-

