歯科医師の先生方も参考にする、
当院のインプラント症例
治療部位・種類別に見る症例紹介
2020.01.10 お口全体 噛めないお口を歯ぐきを切らないインプラントで短期間に治療!【国際シンポジウムでの講演症例】
- Before
- After
※Before Afterをクリックすると写真が切り替わります
| 初診時年齢 | 56歳 |
|---|---|
| 主訴 | 噛むたびに揺れて噛めない |
| 処置内容・方法 | 上顎はAGCブリッジ、下顎はインプラントとセラミックブリッジによって全顎的に治療した。 |
| 抜歯の有無 | あり |
| 埋入本数 | 上顎6本、下顎4本 |
| 埋入箇所 | 上顎全体、右下・左下臼歯部 |
| 治療期間 | 6ヶ月(来院回数15回:クリーニングのみも含みます) |
| 費用 | 詳しくは料金表ページをご覧下さい |
| リスク | 治療方法や費用、治療期間などは、ケースによって異なります。患者さまに合わせた治療計画をカウンセリング時にご提案いたしますので、治療例は参考程度にご覧ください。 |

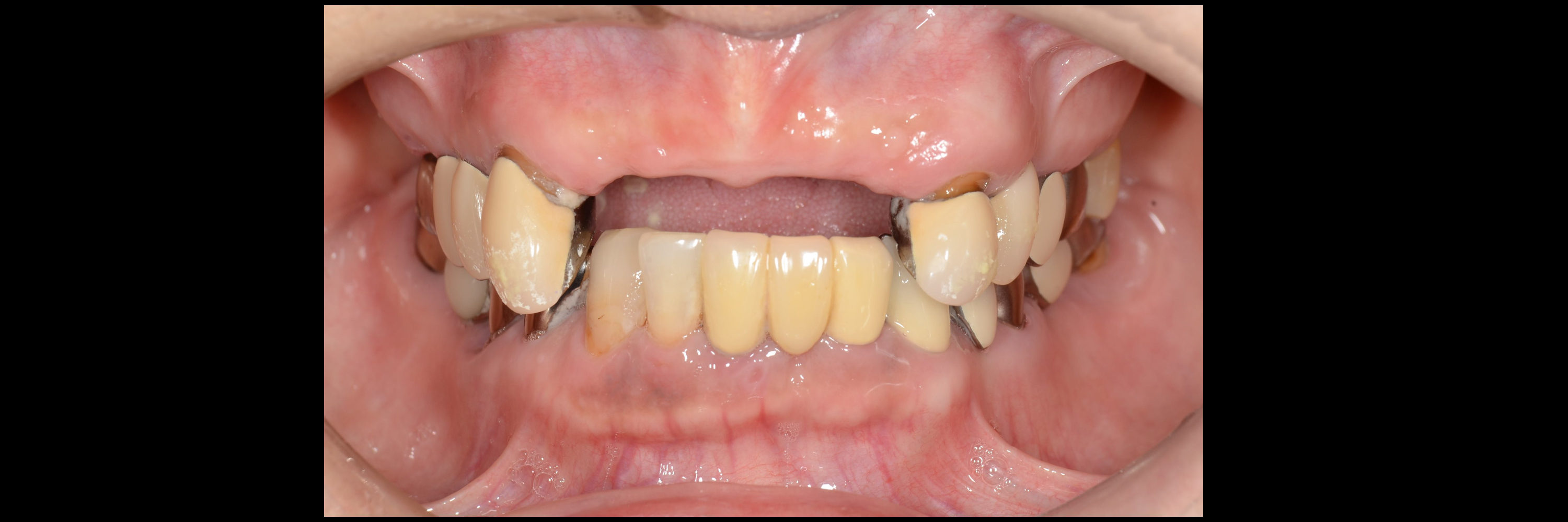
長らく満足に噛むことができず、以前のようにお寿司の軍艦巻きをおいしく食べたいとお望みのところ、低侵襲・短期間で治療ができる当院をご存知になりご来院くださいました。

前歯を失ってしまったほか、奥歯は歯周病のため、噛むたびに揺れて噛めない状態でした。
まずは早急に噛める状態に治療することが何より大切です。

ワックスアップ(治療用模型)により、治療後の状態を患者さまと一緒に確認します。

お口の中のデジタルデータをもとに、コンピューターガイデッドサージェリーシステムを活用し、適切なインプラント治療を行うためのシミュレーションを行います。

3Dプリンタで作成したガイド装置を用いて、シミュレーション通りの位置、角度、深さにインプラントを埋入します、上下を一度のオペで終わらせ、またメスなどで歯茎を切らない術式のため、術後の腫れや痛みを低減することができます。

下段の各画像がシミュレーション画像、上段の各画像が当院院長中山が実際にインプラントを埋入した後のCT画像です。シミュレーションに即してインプラントが埋入されていることが確認できます。

インプラント埋入直後の骨との接合状態を数値で計測。70以上の数値が確保できている箇所は即日のうちに噛ませることが可能です。

オペ翌日の状態です。痛み、出血、腫れはほとんどなかったとのことでした。
この後、インプラントと骨はさらに強く結合します。

顔との調和を確認。仮歯を装着した状態の正面写真をもとに自然で美しい表情であることを確認します。

最終のセラミックの歯を装着し、インプラント治療が終了しました。

上顎はAGCブリッジ、下顎は臼歯部はインプラントにて噛み合わせの再建を行っています。

治療前は低栄養ぎみでしたが、しっかりと噛めるようになり栄養状態も改善しました。
- 最新記事
- 症例カテゴリー
- 症例タグ
-
- 月別アーカイブ
-

