歯科医師の先生方も参考にする、
当院のインプラント症例
治療部位・種類別に見る症例紹介
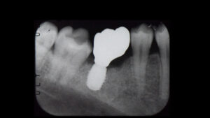
2023.05.12 奥歯1本 根が折れた奥歯をインプラントで治療した症例
- Before
- After
※Before Afterをクリックすると写真が切り替わります
| 初診時年齢 | 36 |
|---|---|
| 主訴 | 下の奥歯が噛むと痛む。 |
| 処置内容・方法 | 抜歯してインプラントで治療した。 |
| 抜歯の有無 | 有り |
| 埋入本数 | 1本 |
| 埋入箇所 | 下顎臼歯部 |
| 治療期間 | 16週 |
| 費用 | 55万円(税込) |
| リスク | 定期的なメンテナンスを怠ると、インプラント周囲炎などにより予後が悪くなる可能性があります。 |
右下の奥歯が噛むと痛むとのことでご来院されました。

太い金属の土台によって根に大きな負担がかかり、かぶせものの下で縦に割れてしまっていることがわかりました。残念ですが歯が割れてしまうと残すことはできません。抜歯してインプラント治療をする計画を立てました。今回の場合は抜歯して一ヶ月弱骨の治癒を待ってインプラントオペを行うのが最善と診断し、抜歯をして6週待ちました。

歯茎を切開して骨の状態を確認します。

インプラント埋入のスペースを作ってインプラントが入りました。

適切な一次固定の確認をとり、仮歯まで作っていきます。

オペから8週でセラミックの歯の型取り、10週で全ての治療が終了しました。


- 最新記事
- 症例カテゴリー
- 症例タグ
-
- 月別アーカイブ
-

