歯科医師の先生方も参考にする、
当院のインプラント症例
治療部位・種類別に見る症例紹介
症例紹介一覧

太い土台が原因で根っこが割れて治療した症例
右下の奥歯に太い土台が原因で根っこが破折していました。 抜歯を行いました。インプラントを埋入しました。10週目にセラミックを装着して終了しました。

虫歯により奥歯がなくなった場合の治療
右上奥歯が虫歯によって根っこだけの状態になってしまいました。抜歯を行い、インプラントを埋入しました。デジタルスキャンで型取りを行いました。10週目にセラミックを装着して終了しました。

噛む力により割れた大臼歯をインプラントで治療した症例
左下大臼歯部が噛むと痛いが、主訴で来院され歯が割れているのが確認されました。抜歯を行い、インプラントを埋入し印象を行いました。最終的にセラミックで治療しました。

最新の機械(光学印象)でインプラントの補綴物を作った症例
歯茎が腫れているのが主訴で来院され、歯が割れているのが確認できます。抜歯を行い、インプラントを埋入して、最新の機械(光学印象)で型採りをしました。セラミックで歯を作りました。

根っこが折れた奥歯をインプラントで治療した症例
右下臼歯部が腫れて痛いが主訴で来院されました。レントゲンで確認すると歯が折れていたので、インプラントで治療しました。一番奥の歯も金属修復物もセラミックインレーで同時に治療しています。

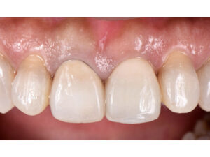
前歯が折れた場合のインプラント治療【前歯部審美症例6】
前歯が折れたとのことで来院されました。真ん中の隙間も気にされていました。抜歯と同時にインプラントを埋入しました。3日後の状態です。セラミックの型取りをして、セラミックの歯を作ります。これを装着して10…

歯根端切除術後のインプラント治療【前歯部審美症例5】
歯根端切除とは、歯茎を開いて直接歯根を見ながら、先端の病巣を除去する手術です。この患者さまは、歯に違和感があったために、他院でその手術を受けたのですが、術後も違和感が消えず、抜歯だと診断されたとのこと…

他院のインプラントと当院のインプラントの比較【前歯部審美症例4】
歯が折れて抜歯が必要になった患者さまです。反対側の歯は他院でインプラントをしてもらっていますが、歯が長いのが審美的ではないとのことで当院に来院されました。(写真の点線は、天然の歯茎の位置のライン)折れ…

前歯が折れた後のインプラント治療【前歯部審美症例3】
前歯が折れたことにより来院時には、歯茎が赤くなっておられました。抜歯をしてすぐにインプラントを埋入します。その後すぐに仮歯を作り、装着しました。CT写真でインプラントの位置に問題がないか確認します。順…
- 最新記事
- 症例カテゴリー
- 症例タグ
-
- 月別アーカイブ
-


