歯科医師の先生方も参考にする、
当院のインプラント症例
治療部位・種類別に見る症例紹介
2022.12.21 前歯1本 根が折れてしまった前歯をインプラントで治療した症例【前歯部審美症例10】
- Before
- After
※Before Afterをクリックすると写真が切り替わります
| 初診時年齢 | 29 |
|---|---|
| 主訴 | 前歯が折れた。 |
| 処置内容・方法 | 折れた前歯を抜歯して、同時にインプラントで治療した。 |
| 抜歯の有無 | 有り |
| 埋入本数 | 1本 |
| 埋入箇所 | 前歯部 |
| 治療期間 | 10週 |
| 費用 | 49万5千円(税込) |
| リスク | 定期的なメンテナンスを怠ると、インプラント周囲炎などにより予後が悪くなる可能性があります。 |
初診時。
ぶつけて前歯が折れてしまったとのことでご来院されました。折れてしばらくそのままだったようで、割れた箇所から虫歯も進行してしまっています。抜歯適応と診断し、インプラントで治療する計画を立てました。


適切な位置にインプラントを埋入するため、綿密に計画を立てます。

折れた歯を抜歯して、インプラントが入るスペースが形成されたところです。

インプラントを埋入します。

インプラントを埋入し、適切な固定状態が確認できました。仮歯を作っていきます。

オペ当日、仮歯までセットされた状態です。前歯部なので特に高い審美性が要求されます。

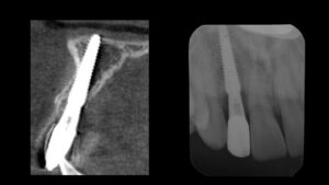
レントゲン写真でも、適切な位置と方向で埋入できたことがわかります。

オペ3日後。腫れや痛みはありません。

オペ8週で型取りしたセラミックの技工物が完成しました。

オペから10週でセラミックをセットしました。歯茎のラインを綺麗に整えたことで、ご自身の歯と見分けがつかないほど回復しました。

セラミックのセット後のレントゲン写真でも良好な適合状態が確認できます。

- 最新記事
- 症例カテゴリー
- 症例タグ
-
- 月別アーカイブ
-

