歯科医師の先生方も参考にする、
当院のインプラント症例
治療部位・種類別に見る症例紹介
2022.07.22 前歯1本 折れた前歯のインプラント治療【前歯部審美症例8】
- Before
- After
※Before Afterをクリックすると写真が切り替わります
| 初診時年齢 | 46歳 |
|---|---|
| 主訴 | 右の前歯がぐらつく |
| 処置内容・方法 | 折れた歯を抜歯してインプラント治療をした |
| 抜歯の有無 | 有り |
| 埋入本数 | 1本 |
| 埋入箇所 | 右上前歯 |
| 治療期間 | 10週 |
| 費用 | 49万5千円(税込) |
| リスク | 定期的なメンテナンスを怠ると、インプラント周囲炎などにより予後が悪くなる可能性があります。 |
右上の前歯がぐらつくとのことで、ご来院されました。
調べてみると、歯の根っこが割れてしまっています。

抜歯して、インプラント埋入のスペースを形成します。
インプラントを埋入しました。


インプラント埋入と同時に仮歯を入れます。
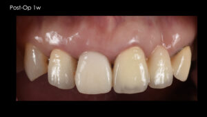
オペ1週後。痛みや腫れがなく良好な治癒経過です。
オペ8週後。固定状態良好で、最終的な型取りをしていきます。

オペ10週後にセラミックをセットしました。歯の際のラインが整っているのがわかります。


- 最新記事
- 症例カテゴリー
- 症例タグ
-
- 月別アーカイブ
-

