歯科医師の先生方も参考にする、
当院のインプラント症例
治療部位・種類別に見る症例紹介
2022.08.03 奥歯1本 根が折れて骨が薄くなった奥歯をインプラント治療した症例
- Before
- After
※Before Afterをクリックすると写真が切り替わります
| 初診時年齢 | 41歳 |
|---|---|
| 主訴 | 歯が折れた。 |
| 処置内容・方法 | 折れた奥歯を抜歯して、インプラントで治療した。 |
| 抜歯の有無 | 有り |
| 埋入本数 | 一本 |
| 埋入箇所 | 上顎臼歯 |
| 治療期間 | 10週 |
| 費用 | 49万5千円(税込) |
| リスク | 定期的なメンテナンスを怠ると、インプラント周囲炎などにより予後が悪くなる可能性があります。 |
初診時。歯が折れているとのことでご来院されました。

歯が根ごと折れており、その影響で骨も薄くなってしまっています。
抜歯して8週待ち、インプラント埋入する計画を立てました。

インプラントを埋入しました。適切な固定が確認できたので、その日に仮歯まで立ち上げました。
オペ当日に歯が入るので、歯がないことの違和感はすぐに解消されます。


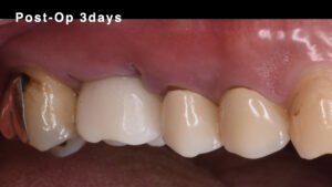
術後3日目。痛み、腫れはありません。

術後10週目。最終的なセラミックをセットします。横から見ても歯茎のラインの調和が取れています。


- 最新記事
- 症例カテゴリー
- 症例タグ
-
- 月別アーカイブ
-

