歯科医師の先生方も参考にする、
当院のインプラント症例
治療部位・種類別に見る症例紹介
2022.12.21 奥歯1本 根の虫歯で抜歯になった下顎の奥歯をインプラントで再建した症例2
- Before
- After
※Before Afterをクリックすると写真が切り替わります
| 初診時年齢 | 40 |
|---|---|
| 主訴 | 奥歯にインプラントを入れたい。 |
| 処置内容・方法 | 奥歯を抜歯して、同時にインプラントを埋入した。 |
| 抜歯の有無 | 有り |
| 埋入本数 | 1本 |
| 埋入箇所 | 下顎臼歯部 |
| 治療期間 | 10週 |
| 費用 | 49万5千円(税込) |
| リスク | 定期的なメンテナンスを怠ると、インプラント周囲炎などにより予後が悪くなる可能性があります。 |
初診時。
インプラントを入れたいとのことでご来院されました。下の奥歯が虫歯によって大きく溶かされており、保存不可能と診断しました。抜歯して、インプラントを埋入する計画をたてました。


根を分割して抜歯することにより、周囲の骨への負担を最小限にまで抑えます。

抜歯した穴に、インプラントを埋めるスペースを形成します。

インプラントが埋入されました。

初期固定を計測する機械で、客観的に良好な固定を確認できました。インプラントを入れて仮歯まで立ち上げました。

オペ3日目。出血、腫れ、痛みはありません。

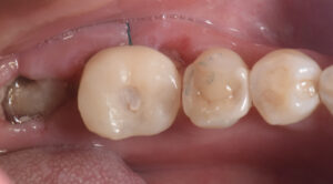
オペ8週で型取りした最終的なセラミックを10週目にセットしました。
周囲の歯との調和が取れており、骨のボリュームも最大限維持されています。


セット後のレントゲンでは、良好な適合が確認できます。しっかり定期検診に通っていただくことで、末長く良好な状態が保つことができます。

- 最新記事
- 症例カテゴリー
- 症例タグ
-
- 月別アーカイブ
-

