歯科医師の先生方も参考にする、
当院のインプラント症例
治療部位・種類別に見る症例紹介
症例紹介一覧

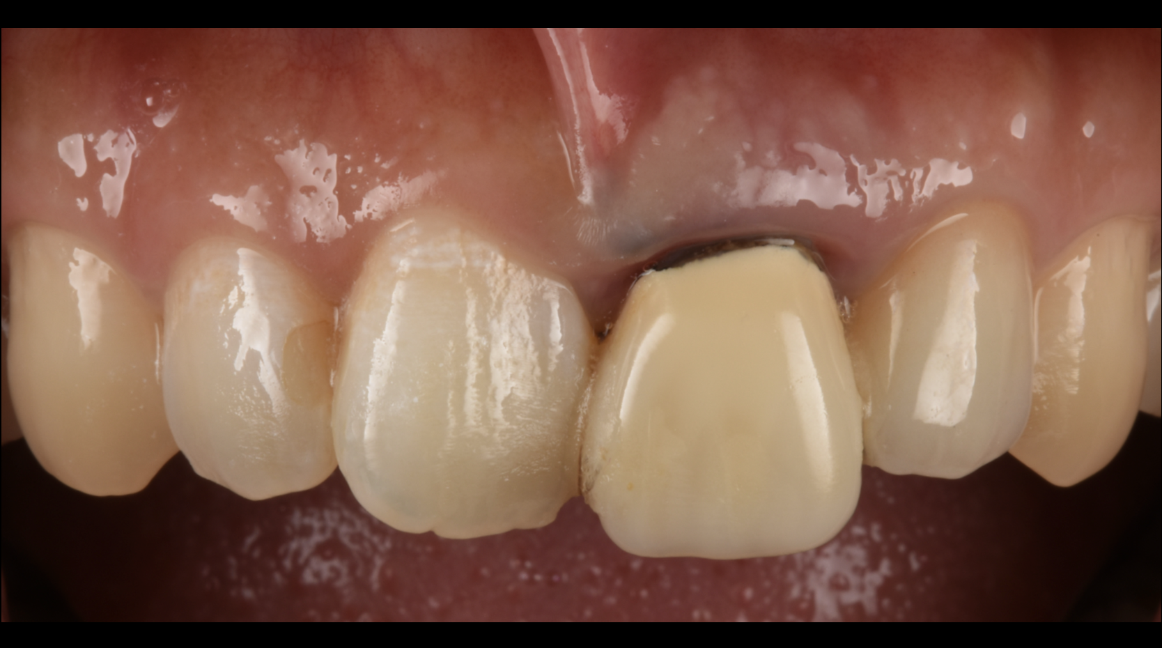
前歯の歯根が折れた【前歯部審美症例17】
前医ではまずエクストリュージョンの後、抜歯し歯肉弁治癒後に骨造成し(1wは腫れると聞いた)、インプラント埋入、軟組織の外科処置など治療期間はトータル1年半必要とのことで転医を検討されていた。麻酔後、B…

前歯の腫れで来院【前歯部審美症例16】
前歯の腫れで来院。過去に3回の再根管治療歴があり、4年前に前医による歯根端切除が施術されていた。患者は3ヶ月後に海外へ転居されるとのことでインプラント治療を希望した。患歯の抜歯が終わり。この穴にインプ…

根が折れた奥歯をインプラントで治療した症例
右下の奥歯が噛むと痛むとのことでご来院されました。太い金属の土台によって根に大きな負担がかかり、かぶせものの下で縦に割れてしまっていることがわかりました。残念ですが歯が割れてしまうと残すことはできませ…

根が折れて骨が吸収した奥歯をインプラントで治療した症例
頻繁に奥歯のまわりが腫れてくるとのことでご来院されました。初診時は応急的に抗菌薬で炎症を抑えて、後日現状を詳しく精査していきました。2本あるうちの手前の1本の根っこが縦に割れてしまっている状態でした。…

奥歯にインプラントを入れてしっかり噛めるようになった症例
長年奥歯が無い状態で過ごし、またしっかりものを噛めるようになりたいとご来院されました。現在の噛み合わせ、CT、レントゲンで骨の状態や骨質を精査し、2本のインプラントを入れる計画を立てました。術前の計画…

ぶつけて折れてしまった歯をインプラントで治療した症例【前歯部審美症例15】
数日前に前歯を強打して痛みがあるとのこと。他院で応急処置は受けてご来院されました。レントゲンやCTをとって精査しました。歯の根っこが破折しており、根の先端と周囲の組織が感染して炎症を起こしています。保…

ぶつけて折れてしまった前歯を抜歯してインプラントで治療した症例【前歯部審美症例14】
1週間前に自転車で転んでしまい、前歯を強くぶつけてしまったとのことでご来院されました。他院で応急処置は受けたがそのままにされていたとのこと。診断の結果、左上の前歯は根ごと折れており保存不可能、右上の前…

根が縦に割れてしまった前歯をインプラントで治療した症例【前歯部審美症例13】
初診時。前歯の歯茎が常に腫れていて痛いとのことでご来院されました。神経処置後の歯は破折のリスクが高くなってしまいます。レントゲン写真、CTで調べてみると被せものの下の根っこが縦に割れてしまっていること…

大きな虫歯と根の破折で抜歯適応となった歯を複数本インプラントで再建した症例
初診時。複数本のブリッジがグラついて食べ物が噛めないとのことでご来院されました。レントゲン写真で精査すると、土台に大きな虫歯ができて、一部脱離していることがわかりました。ブリッジを外してみると、そこに…

土台ごと折れた前歯をインプラントで治療した症例【前歯部審美症例12】
初診時。前歯がグラつくとのことでご来院されました。詳しく調べてみると、かぶせと土台が根っこごと折れてしまっている状態でした。非常に太い土台が入っていたことにより、根が折れやすい状態だったと予想できます…
- 最新記事
- 症例カテゴリー
- 症例タグ
-
- 月別アーカイブ
-

