歯科医師の先生方も参考にする、
当院のインプラント症例
治療部位・種類別に見る症例紹介
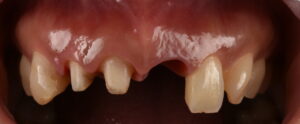
2023.04.12 前歯1本 ぶつけて折れてしまった前歯を抜歯してインプラントで治療した症例【前歯部審美症例14】
- Before
- After
※Before Afterをクリックすると写真が切り替わります
| 初診時年齢 | 34 |
|---|---|
| 主訴 | 自転車で転けて前歯が折れてしまった。 |
| 処置内容・方法 | 保存できない前歯を抜歯して、同時にインプラントで治療した。 |
| 抜歯の有無 | あり |
| 埋入本数 | 1本 |
| 埋入箇所 | 前歯部 |
| 治療期間 | 10週間 |
| 費用 | 49万5千円(税込) |
| リスク | 定期的なメンテナンスを怠ると、インプラント周囲炎などにより予後が悪くなる可能性があります。 |
1週間前に自転車で転んでしまい、前歯を強くぶつけてしまったとのことでご来院されました。他院で応急処置は受けたがそのままにされていたとのこと。

診断の結果、左上の前歯は根ごと折れており保存不可能、右上の前歯は感染してしまっているが神経処置で保存可能と診断しました。

まずは右上前歯の神経処置を済ませました。

術前に3本分の仮歯を作成し、インプラントオペに取り掛かります。左上の前歯を抜歯して、同時にインプラントを埋入します。


適切な初期固定が取れたので、仮歯を立ち上げていきます。

仮歯のセットが終わりました。これでオペ終了です。

適切な埋入位置も確認できます。

オペから3日後。腫れ痛みはほとんど出ていません。

オペから8週で、最終的なセラミックの歯の型取りを行います。


型取りから2週間でセラミックの歯が完成しました。

オペから10週で全ての処置が終了しました。

オペから4ヶ月経過した定期検診での様子です。歯茎がより馴染んできていることがわかります。



- 最新記事
- 症例カテゴリー
- 症例タグ
-
- 月別アーカイブ
-

