歯科医師の先生方も参考にする、
当院のインプラント症例
治療部位・種類別に見る症例紹介
2023.04.11 前歯1本 根が縦に割れてしまった前歯をインプラントで治療した症例【前歯部審美症例13】
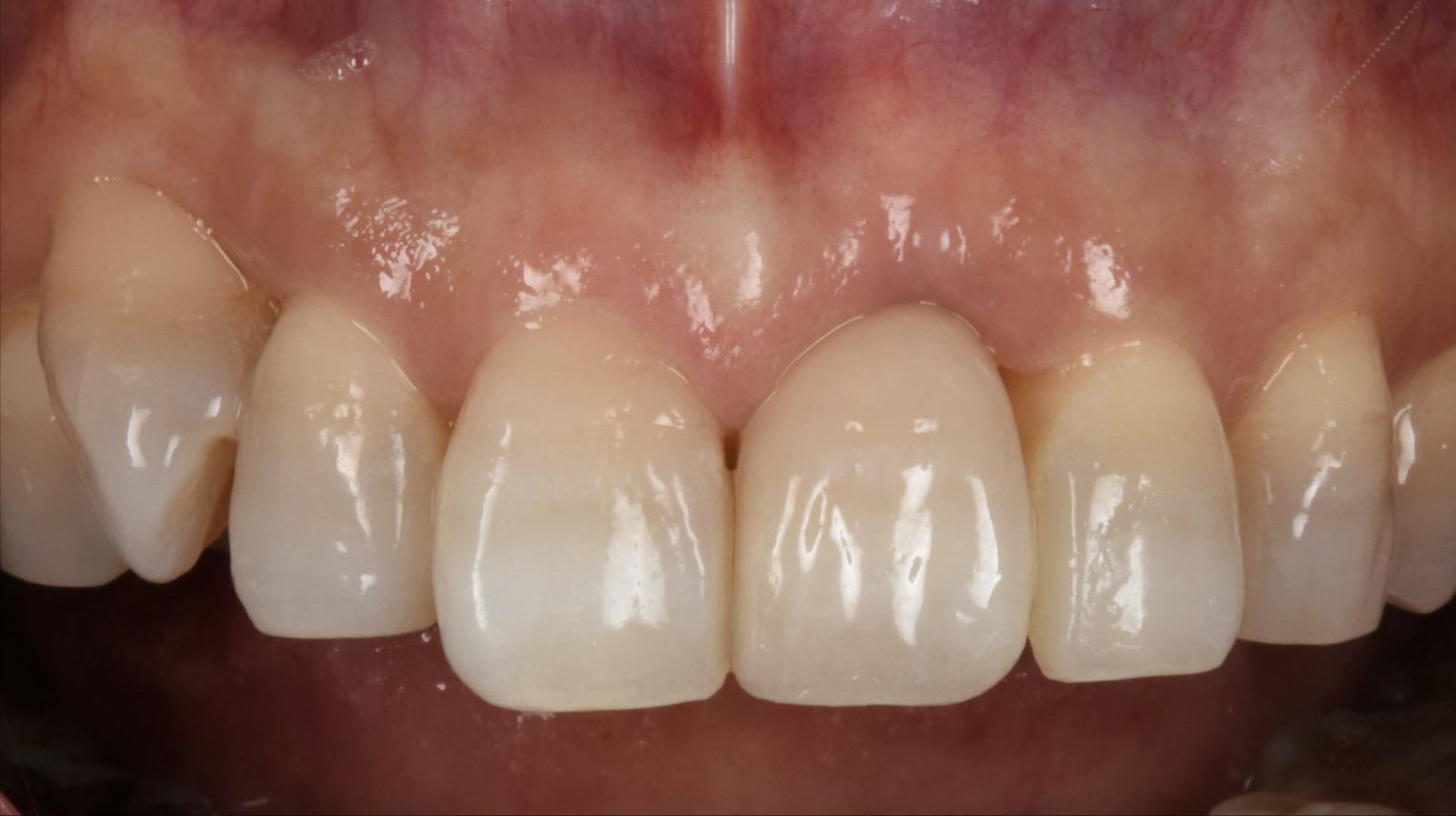
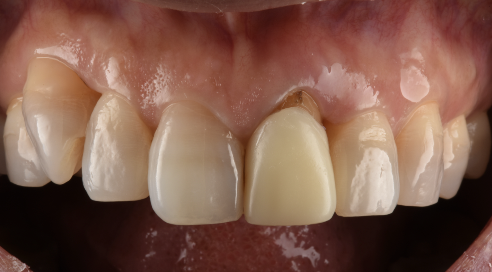
- Before
- After
※Before Afterをクリックすると写真が切り替わります
| 初診時年齢 | 57歳 |
|---|---|
| 主訴 | 前歯が腫れて痛い。 |
| 処置内容・方法 | 折れた前歯を抜歯して、同時にインプラントで治療した。 |
| 抜歯の有無 | あり |
| 埋入本数 | 1本 |
| 埋入箇所 | 前歯部 |
| 治療期間 | 10週間 |
| 費用 | 49万5千円(税込) |
| リスク | 定期的なメンテナンスを怠ると、インプラント周囲炎などにより予後が悪くなる可能性があります。 |
初診時。前歯の歯茎が常に腫れていて痛いとのことでご来院されました。

神経処置後の歯は破折のリスクが高くなってしまいます。レントゲン写真、CTで調べてみると被せものの下の根っこが縦に割れてしまっていることがわかりました。破折線から細菌が入り込み、歯の周囲の骨を大きく溶かしてしまっています。このまま放置するとさらに骨は溶けてしまいます。抜歯してインプラントで再建する計画を立てました。

抜歯の前に、麻酔下で骨の状態を確認します。

組織に負担がかからない方法で慎重に抜歯していきます。

抜歯が完了したら、そのままインプラントが入るスペースを形成していきます。

インプラント埋入が終わりました。適切な初期固定を計測し、十分な固定が確認できたので仮歯を作っていきます。

仮歯を作製しています。

仮歯が完成しました。最小限の侵襲で手術は終了です。

CT上でも適切な埋入位置の確認が取れました。

左が手術3日後、右が6週後です。腫れなど強い炎症初見はみられません。

手術から8週でまたインプラントと骨の結合状態を計測します。良好な数値が出たので、最終的なセラミック上部構造の型取りを行います。

型取りから約2週間でセラミックの歯が完成しました。

口腔内にセラミックの歯をセットして完了です。オペから10週間で全ての治療が終わります。定期検診で歯茎を健康に保つことで、さらに歯茎は馴染んできます。

- 最新記事
- 症例カテゴリー
- 症例タグ
-
- 月別アーカイブ
-

