歯科医師の先生方も参考にする、
当院のインプラント症例
治療部位・種類別に見る症例紹介
2023.03.18 前歯複数歯 奥歯複数歯 大きな虫歯と根の破折で抜歯適応となった歯を複数本インプラントで再建した症例
- Before
- After
※Before Afterをクリックすると写真が切り替わります
| 初診時年齢 | 74歳 |
|---|---|
| 主訴 | 複数本のブリッジがグラグラ動いてしっかり噛めない。 |
| 処置内容・方法 | 抜歯して同時にインプラント治療した。 |
| 抜歯の有無 | あり |
| 埋入本数 | 3本 |
| 埋入箇所 | 上顎前歯部、臼歯部 |
| 治療期間 | 8週間 |
| 費用 | オペ&セラミック上部構造1本440,000円(税込)。抜歯即時埋入、即時荷重PVR、ブリッジポンティックは別途費用がかかります。 |
| リスク | 定期的なメンテナンスを怠ると、インプラント周囲炎などにより予後が悪くなる可能性があります。 |
初診時。複数本のブリッジがグラついて食べ物が噛めないとのことでご来院されました。
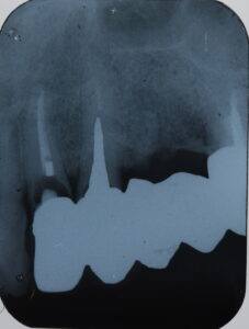
レントゲン写真で精査すると、土台に大きな虫歯ができて、一部脱離していることがわかりました。

ブリッジを外してみると、そこには根の大きな虫歯と破折が見つかりました。これがグラつきの原因であったことがわかります。ブリッジを作り直すことはできず、歯は保存不可能と診断しました。いく通りかの治療方針の計画を立て、患者様との相談の結果、インプラント治療でしっかり噛めるようにする方針となりました。

術前写真。これから抜歯して同時にインプラントを埋入する手術をはじめていきます。

保存不可能となった歯を慎重に抜歯していきます。

周囲組織に負担をかけることなく抜歯を終えました。

インプラントを抜歯した穴と適切な位置に埋入しました。

専用の器具で、適切な初期固定が取れているかの客観的な評価を行います。

適切な初期固定を確認できたので、即時荷重PVR(インプラントの仮歯)を作製していきます。

即時荷重PVRが完成しました。

即時荷重PVRのセットまで行い、手術が終了しました。

?
手術から3日後。腫れや痛みはほとんどありません。

手術から6週目で、インプラントと骨の良好な固定を確認できました。最終的なセラミック上部構造の型取りを行います。

型取りから2週で、ジルコニアセラミックの上部構造が完成しました。

セラミックのセット時。天然歯と違和感なく馴染んでいます。


?
顔貌との調和もばっちり取れています。なんでも物を噛めるようになり、見た目の改善もできて大変満足いただきました。
(※患者様からお顔出しの許可は得ています。)

- 最新記事
- 症例カテゴリー
- 症例タグ
-
- 月別アーカイブ
-

