歯科医師の先生方も参考にする、
当院のインプラント症例
治療部位・種類別に見る症例紹介
2022.12.24 前歯1本 土台ごと折れた前歯をインプラントで治療した症例【前歯部審美症例12】
- Before
- After
※Before Afterをクリックすると写真が切り替わります
| 初診時年齢 | 38 |
|---|---|
| 主訴 | 上の前歯がグラつく。 |
| 処置内容・方法 | 折れた前歯を抜歯して、同時にインプラントで治療した。 |
| 抜歯の有無 | 有り |
| 埋入本数 | 1本 |
| 埋入箇所 | 前歯部 |
| 治療期間 | 10週 |
| 費用 | 49万5千円(税込) |
| リスク | 定期的なメンテナンスを怠ると、インプラント周囲炎などにより予後が悪くなる可能性があります。 |
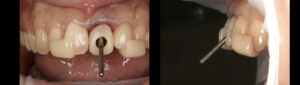
初診時。前歯がグラつくとのことでご来院されました。詳しく調べてみると、かぶせと土台が根っこごと折れてしまっている状態でした。

非常に太い土台が入っていたことにより、根が折れやすい状態だったと予想できます。
抜歯してインプラントで治療する計画を立てました。

術前CTで綿密に計画を立てます。

埋入の方向を確認しながら、インプラントが入るスペースを形成していきます。

適切な位置と方向でインプラントが埋入できました。

CT像でも、適切な埋入が確認できます。

良好な初期固定を確認し、オペ当日に仮歯を立ち上げます。

オペ1日経過。腫れや痛みなど炎症所見は見られません。

オペ8週後。良好な二次固定が得られました。

二次固定の確認が取れたので、最終的なセラミックの型取りを行います。

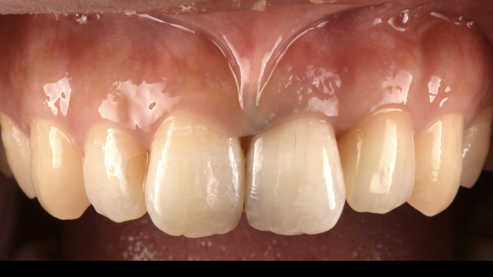
オペ10週で最終的な技工物が完成し、セットしていきます。

セラミックの技工物のセットが完了しました。周囲の歯との調和は抜群です。

CT像でも良好な適合が確認できました。

周囲の歯のラインとの連続性が取れています。見た目、機能ともに患者さまに非常にご満足いただけました。

- 最新記事
- 症例カテゴリー
- 症例タグ
-
- 月別アーカイブ
-

