歯科医師の先生方も参考にする、
当院のインプラント症例
治療部位・種類別に見る症例紹介
前歯複数歯の症例一覧

2023.03.18
前歯複数歯
奥歯複数歯
大きな虫歯と根の破折で抜歯適応となった歯を複数本インプラントで再建した症例
初診時。複数本のブリッジがグラついて食べ物が噛めないとのことでご来院されました。レントゲン写真で精査すると、土台に大きな虫歯ができて、一部脱離していることがわかりました。ブリッジを外してみると、そこに…

2022.07.23
前歯複数歯
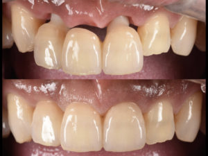
前歯複数本をインプラントで再建した症例【前歯部審美症例9】
初診時。被せ物をした土台の歯が膿んでいるため、たびたび腫れてくるとのことでした。歯肉のラインも不揃いです。根の先が膿んでいる歯を抜歯して、その日にインプラントを埋入。また仮歯も同時にセットします。 …

2022.07.22
前歯複数歯
乳歯の晩期残存歯をインプラントで再建した症例【前歯部審美症例7】
永久歯の先天欠如により、残った乳歯が揺れてきています。見た目のバランスも不自然です。乳歯の抜歯と同時にインプラント埋入しました。インプラント埋入と同時に仮歯も入れました。メスで歯茎を切ったりせず、術後…

2020.03.10
前歯複数歯
見た目の悪いブリッジをインプラントで改善【前歯部審美症例2】
30年以上昔に入れた前歯のブリッジから膿が出てきたため治療することになった患者さまです。レントゲン写真を撮ると前歯の骨が吸収してしまっていることが分かります。診断用ワックスアップ模型上で審美的に美しい…

2020.01.15
前歯複数歯
事故で前歯を失った方への早期治療【前歯部審美症例1】
37歳 女性顔面を強打し、患者さま右手側の上の前歯が抜け落ちてしまいました。応急処置として近隣の歯医者さんでダミーの歯を装着してもらい、当院に来院されました。診査の結果、右手側は歯の根っこまで無い状態…
- 最新記事
- 症例カテゴリー
- 症例タグ
-
- 月別アーカイブ
-

