インプラント治療の
プロフェッショナル
国際シンポジウムにおけるインプラント症例発表、専門書執筆、歯科医師向け指導等、
数々の実績を持つスタッフがチームを組み、患者さまの体の負担を軽減するインプラント治療を提供しています。
その日のうちに噛める
インプラントと骨が即時に固定し
術後すぐに噛むことができます
最短2か月(※)の治療期間
手術回数の少ない術式を用い
最短3回(※)の通院で治療できます
痛みや腫れの軽減
「小さな手術」を考え抜くことで
体の負担を軽減します
天然の歯同等の美しさ
国際的審美評価基準に沿った
美しい見た目を叶えます
難症例にも対応
他医院の先生方も
当院にご依頼くださいます
多様な講演・受賞実績
歯科医師向け講演・発表で
成果を残しています
4Sの考え方に基づく
インプラント治療

そもそも私たちが20年以上も前から追求してきたこと、それは、インプラント治療を短期間で終わらせること(short)、安全に行うこと(safety)、小さな切開で治療すること(small)、簡単な術式を実現すること(simple)。抜歯即時インプラント埋入は、これを叶える術式として、理に適う治療法だったのです。
このように私たちは、「4S」、すなわちshort、safety、small、simpleをすべての治療の起点とし、他の術式を併用・応用するどのような治療であっても、抜歯即時インプラント埋入と同様、常に「4S」を起点とする治療計画を考えています。
なかやま歯科の
インプラント治療の特徴
実績、設備、メンバー、術式、成長と学びの追求…、どの切り口においても一切の妥協を許さない「なかやま歯科」。
そんな当院のインプラント治療を、様々な切り口からご紹介します。
当院の「当たり前」を、
もっと深く知ってください
「当たり前のレベルの高さを求めること」それは私たちにとっての当然です



カウンセリングでは、
こんなお話もしています
患者さまのご納得が、インプラント治療のスタート地点です



インプラント症例から、
違いを実感してください
より深く、より詳しく、なかやま歯科のインプラント治療をご紹介します



チームや設備、
目線合わせにもこだわります
よりよい治療に繋がる「環境」と「患者さまとの約束」



患者さま、歯科医師の先生方
双方の相談を承ります
やり直しの相談や難症例対応、費用感をご案内します



院長挨拶
想像を一掃するインプラント治療が、
当院にはあります。
院長中山からのメッセージ
当院が提供するインプラント治療は、シンプルかつ最小限の処置で、患者さまの体の負担をできる限り低減するインプラント治療。最近でさえ耳にする機会が多くなった、手術したその日に噛める抜歯即時インプラント治療は、当院では2000年代初めから既に定番となっています。それどころか、昨今の当院では、骨が足りない患者さまでさえ、骨を増やすことなく、ごくシンプルな手術だけで治療するケースが大半です。
そんな治療は、国際シンポジウムや歯科医師向けセミナーにおいて大きな反響をいただくだけではありません。当院院長中山を含む4名の歯科医師が、日々実践するインプラント治療のノウハウをまとめた歯科医師向け専門書は、歯科専門書販売サイトの書籍ランキングで発行直後から話題を呼びました。シンポジウム、講演、セミナーなどを通じ、日本全国の歯科医師の先生が学ぶインプラント治療こそが、私たちの提供するインプラント治療そのものです。
インプラント治療はたいへんな治療と思われているかもしれませんが、その想像を一掃するインプラント治療が当院にはあります。
このサイトでは、当院のインプラント治療をできる限り詳細にご紹介していますが、当院の受付・待合スペースでは、嘘・偽りのない、患者さまの声を数多く公開しています。
ご相談にお越しいただければ、サイトでは伝えきれない、もっとたくさんの情報に触れていただくことが可能です。
インプラント治療をご検討の方、セカンドオピニオン・サードオピニオン先をお探しの方、まずはお気軽に大阪市西区のなかやま歯科にご相談ください。
当院インスタグラムでは、インプラント治療の症例や院長中山をはじめとする、 当院スタッフの講師・講演・学会発表紹介、当院からのお知らせや、お口と全身の健康に役立つ情報を配信しています。ぜひクリックしてご覧ください。
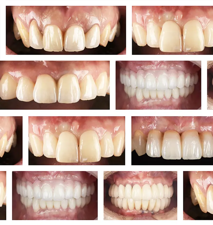
症例紹介
当院のインプラント症例をご紹介します
当院の多様な
インプラント症例を
ぜひご覧ください
当院では、インプラント治療を行う医院選びのご参考となるよう、様々なインプラント症例を紹介しています。大阪市でインプラント治療をご検討の方は、地下鉄四ツ橋駅・心斎橋駅直結のなかやま歯科まで、お気軽にご相談ください。
症例紹介医院概要・アクセス
地下鉄四つ橋線四ツ橋駅直結の好アクセス

大阪市西区のなかやま歯科は、地下鉄四つ橋線四ツ橋駅・心斎橋駅に直結(1-A出口)。大阪駅(西梅田)からも地下鉄でわずか3駅(約5分)でお越しいただけます。
利便性にも優れた当院には、大阪市や大阪府下はもちろん、全国からインプラント治療をご検討の患者さまがご来院くださっています。
- ●インプラント治療にともなう一般的なリスク・副作用
- ・機能性や審美性を重視するため自費(保険適用外)での診療となり、保険診療よりも高額になります。
- ・インプラントの埋入にともない、外科手術が必要となります。
- ・高血圧症、心臓疾患、喘息、糖尿病、骨粗鬆症、腎臓や肝臓の機能障害などがある方は、治療を受けられないことがあります。
- ・手術後、痛みや腫れが現れることがありますが、ほとんどの場合1週間ほどで治ります。
- ・手術後、歯ぐき・舌・唇・頬の感覚が一時的に麻痺することがあります。また、顎・鼻腔・上顎洞(鼻腔の両側の空洞)の炎症、疼痛、組織治癒の遅延、顔面部の内出血が現れることがあります。
- ・手術後、薬剤の服用により眠気、めまい、吐き気などの副作用が現れることがあります。
- ・手術後、喫煙や飲酒をすると治療の妨げとなるので、1週間は控えてください。
- ・インプラントの耐用年数は、口腔内の環境(骨・歯ぐきの状態、噛み合わせ、歯磨きの技術、メンテナンスの受診頻度、喫煙の有無など)により異なります。
- ・毎日の清掃が不十分だった場合、インプラント周囲炎(歯ぐきの腫れや骨吸収など)を引き起こすことがあります。

















